
A six-pound infant born in San Francisco, California has six perfectly formed and functional fingers and toes on his hands and feet, so that it isn't considered a disability or deformity, say doctors at Saint Luke's Hospital who were amazed by the oddity.
"Nurses and doctors, looked so normal they couldn't tell, they told me he was six pounds in good health, that was all they said," said Miryoki Gross, Hubbard?s mother. Her baby's specialness didn't even show up on prenatal ultrasounds. "I heard nothing before I gave birth so I'm still in shock, kinda," Gross added. Despite the mother's shock, Kamani's father, Kris, was the first to notice the condition.
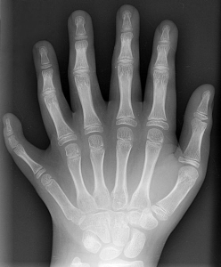
Polydactyly (from Ancient Greek means 'πολύς' (polus) or "many" + 'δάκτυλος' (daktulos) "finger[s]"), also known as polydactylism, sexdactyly, hexadactyly, or hexadactylism, is a congenital physical disorder consisting of supernumerary fingers or toes.
In Kamani's case, however, all of the digits are perfectly formed and function or work normally. "I was in amazement, it took a little time for me to take it all in," said Kris, a postal worker, who has a family history of polydactylism, but none of his relatives can remember it happening on both hands and feet.
Mostly, cases of polydactyly are surgically corrected. Kris himself had nubs of sixth digits, which were removed during his early childhood, for having been non-functional. "My son has six fingers then I saw toes, and I thought, this is quite unique. Some family members have had six fingers, not completely developed. But not the toes," Kris noted.
"I would be tempted to leave those fingers in place. I realize children would tease each other over the slightest things, and having extra digits on each hand is more than slight. But imagine what sort of a pianist a 12-fingered person would be imagine what sort of a flamenco guitarist, if nothing else think of their typing skills," Dr. Treece remarked.
"I just want him to see what greatness will be in store for him," said Kris.
Fully developed and functional extra digits on both hands and feet are considered very rare as a genetic trait in medical history, amid some partial development of an extra digit occurs about twice in every 1,000 white male births. Ordinarily, polydactylism appears as an extra piece of non-functional tissue, typically occurring as an extra finger, sometimes with a bone, but no joint.
"It's merely an interesting and beautiful variation rather than a worrisome thing," said Dr. Michael Treece, a St. Luke's Hospital pediatrician, and the OBGYN who delivered Kamani. He has postaxial polydactyly, which is 10 times more likely to occur in black children, and also more likely to appear in boys.
Goliath, a figure in Old Testament, was depicted as having had six fingers on each hand and six toes on each foot.
Blues guitarist Hound Dog Taylor, Get Carter, Little Tich, Toyotomi Hideyoshi and several other figures in history have had polydactyly. Sid Wilson, a turntablist of Slipknot, had been born with an extra finger and toe on his hands and feet which were removed shortly after his birth as doctors considered them to be dead.
